Skip Menu
Continue
Call
Today
for a Free Consultation
Existing Patients:
(609) 893-5200
New Patients:
(609) 531-0777
77 Juliustown Road, Browns Mills, NJ 08015
Home
About Us
Our Office
New Patients
Smile Gallery
Dental Videos
Testimonials
Our Doctors
Asad Sadiq, DMD
Services
View All
Dental Health
Contact
Contact Us
Request Appointment
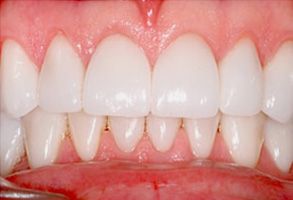
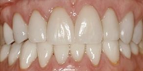
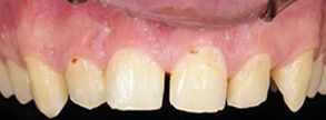
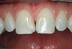
Smile Gallery
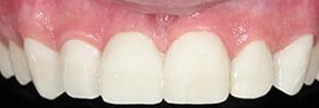
Before
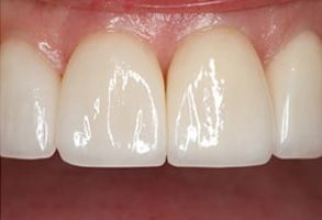
After
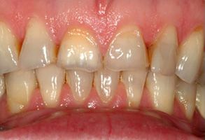
Before
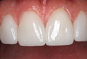
After
Before
After
Before
After
Before
After
Before
After
Before
After
Before
After
Before
After
77 Juliustown Road,
Browns Mills, NJ 08015
Existing Patients:
(609) 893-5200
New Patients:
(609) 531-0777
Appointment
Contact Us